Dental Crown Solutions: Strengthening and Protecting Damaged Teeth

Dental Crowns McLean, VA

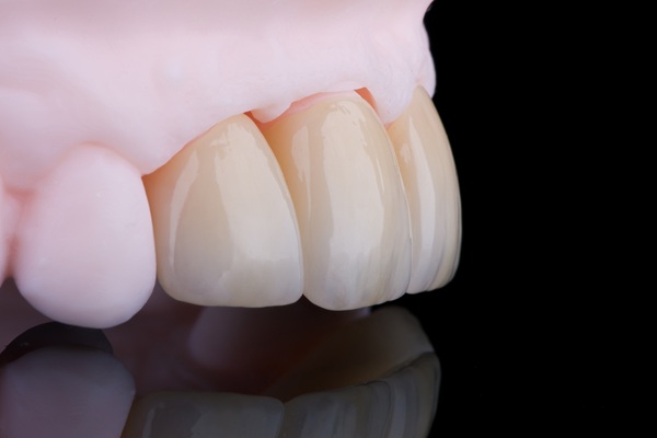
A dental crown restores the strength, shape, and comfort of a tooth that is cracked, worn, or heavily filled. This custom cap covers the entire visible surface to protect what remains. With modern materials and careful planning, a crown blends with nearby teeth and supports confident chewing. Understanding options and steps makes the decision clearer and less stressful.

Understanding dental crowns

A dental crown works like a protective helmet for a tooth. It surrounds weakened structures to prevent further chips, fractures, or painful sensitivity. The crown also restores natural contours so the bite meets evenly, which reduces strain on the jaw and neighboring teeth. For many people, this single solution brings function, comfort, and a smooth, natural look.

Dental crown materials and aesthetics

Today's dental crowns comprise strong, lifelike materials. Porcelain and high-strength ceramics reflect light like enamel and resist stains from coffee or tea. For back teeth that carry heavy forces, zirconia, or porcelain-fused-to-metal (PFM) can add extra durability. Shade matching and careful contouring help the new surface blend in so the restored tooth looks like it belongs.

When a crown makes sense

Dental crowns support both health and appearance. A provider may recommend this option if a tooth shows one or more of the following:

  • Large cracks, deep wear, or wide fillings that weaken the walls
  • Sensitivity from enamel loss or root canal treatment
  • Misshapen or severely stained enamel that does not respond to whitening

By stabilizing the tooth early, a dental crown can help prevent emergency breaks and more complex procedures.

Treatment planning

Before the dentist schedules the dental crown appointment, patients must approve the treatment plan with an office team member. Fees vary depending on the materials, location in the mouth, and any supporting procedures, such as build-up for deep cavities. A written estimate and sequence of visits make planning easier. Insurance often contributes to the cost of medically necessary crowns, but this is on a per-case basis, and the dental team helps verify final cost information.

The dental crown treatment process

Care begins with a comprehensive exam and imaging to confirm that a dental crown is the most suitable choice. The dentist shapes the tooth to create room for the material, then a precise scan or impression records every detail. A temporary crown protects the tooth while a dental lab crafts the final restoration.

At delivery, which is approximately two weeks later, the dentist will remove the temporary crown and test the fit and bite of the permanent one. Once both the patient and dentist are happy, the dentist bonds the permanent one in place.

Dental crowns offer comfort

Modern techniques focus on comfort from start to finish. Local anesthesia keeps the tooth numb, and gentle isolation keeps the area dry, ensuring accurate placement. Dentists carefully inspect bite marks to prevent high spots that could cause soreness. If sensitivity occurs while the tooth is adapting, it usually improves as the bite becomes more even and the tissues calm.

Caring for dental crowns

Daily habits protect both the crown and the gumline that seals it. Simple, steady care extends longevity and keeps the edge clean:

  • Brush twice daily
  • Floss nightly
  • Avoid chewing ice, biting inanimate objects, and opening packages or bottles with teeth
  • Wear a sports or nightguard when appropriate if grinding or clenching is an issue

With routine checkups and professional polishing, a dental crown can stay smooth, comfortable, and bright for many years.

Long-term value

A crown does more than improve appearance. It helps control future costs by preventing cracks that lead to fractures or repeat repairs. Balanced chewing helps protect the jaw and reduces stress on neighboring teeth. Regular maintenance visits enable early adjustments, keeping the restoration comfortable and extending its lifespan.

How dental crowns compare to other options

Everyone's mouth is different, so it helps to understand alternatives. Bonding or onlays may work for smaller defects when strong enamel remains. Veneers focus on front-tooth appearance and do not cover the entire surface. When a tooth is missing, a dental implant with a crown or a bridge fills the space. The dentist weighs the remaining structure, bite forces, and aesthetic goals to choose the most conservative option that remains safe and durable.

Schedule an appointment

A dental crown provides dependable protection and a natural appearance when a tooth requires full coverage support. By reinforcing weakened structure, balancing the bite, and matching nearby teeth, it restores everyday comfort, function, and aesthetics. If you are interested in learning more about dental crowns or want to determine if they are the best restoration for your condition, contact Novel Smiles to schedule an appointment.

Request an appointment here: https://www.novelsmiles.com or call Novel Smiles at (703) 942-8882 for an appointment in our McLean office.

Check out what others are saying about our dental services on Yelp: Dental Crowns and Dental Bridges in McLean, VA.

Related Posts

Damaged Tooth Repair With A Dental Crown

A dental crown is a way for a dentist to repair a broken or damaged tooth. This is a simple solution that many people elect because it is durable and looks like normal teeth. It is also a great option if you have only one tooth that is damaged.The crown is made to match your…

When A Dental Crown Is Necessary

After tooth decay or oral health concerns develop, prompt and effective treatment from the dentist is often required. A dental crown is one of the main treatment options dentists recommend to treat a range of oral health and cosmetic issues. A dental crown can improve a tooth's size, shape, and function and last for over…

Dental Crowns To Restore A Tooth's Shape And Size

Having dental crowns can change the way your mouth looks. Any distortion in the size and shape of your teeth can disappear with the help of caps. Crowns are custom-fit restorations capable of restoring and protecting your teeth. If you want to know how dental crowns can bring back your tooth’s size and shape, here…

Are There Alternatives To Dental Crowns?

Thinking about choosing dental crowns as your dental restoration option? Crowns are often used to repair damaged teeth, as well as for cosmetic reasons. When it comes to choosing the correct dentist to place dental crowns, making the right choice is important.Deciding who will place dental crowns is necessary, as there are many different types…